Odontología General

Odontología General

LogoLogoLogoLogoLogoLogoLogoLogoLogoLogoLogoLogoLogoLogoLogoLogoLogoLogoLogoLogoLogoLogoLogoLogoLogoLogoLogoLogo

NUESTROS TRATAMIENTOS

Cuidado dental integral para una sonrisa sana y duradera

En Renueva Clínica ofrecemos tratamientos esenciales que mantienen tu salud bucal en óptimas

condiciones. Nos enfocamos en la prevención, el diagnóstico oportuno y la restauración de

piezas dentales, siempre priorizando soluciones funcionales, duraderas y estéticamente cuidadas.

Limpieza Dental (Profilaxis)

La limpieza dental elimina placa, sarro y manchas superficiales para mantener dientes y encías

saludables. Es un procedimiento preventivo fundamental para evitar caries, inflamación y enfermedad

periodontal. Se recomienda realizarla cada 6 meses para mantener una sonrisa más limpia y fresca.

Beneficios

Reduce riesgo de caries y enfermedades de encías

Elimina manchas superficiales

Mejora el aliento Mantiene la salud bucal a largo plazo

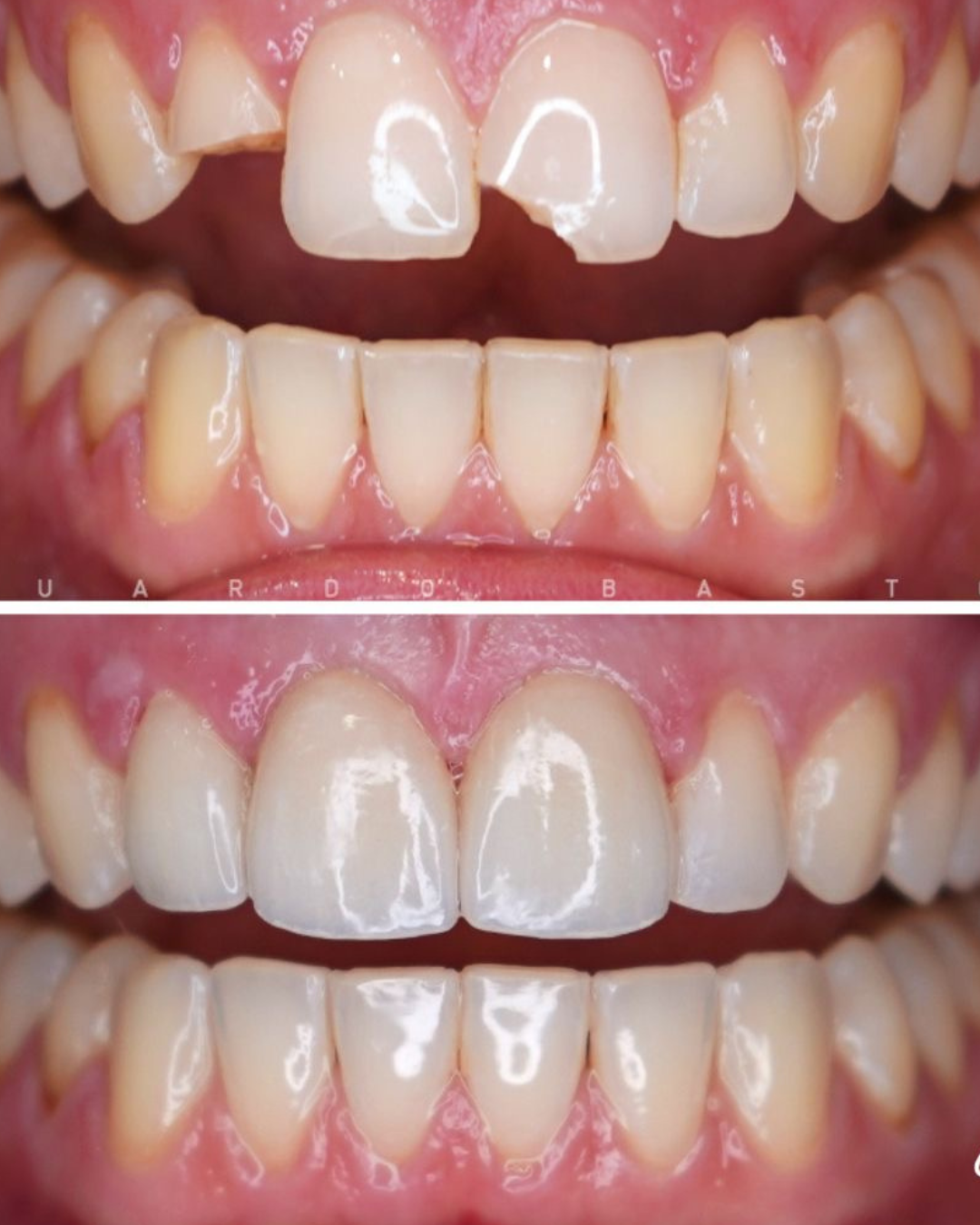
Restauraciones Dentales (Tapaduras en Resina)

Las restauraciones permiten reparar dientes dañados por caries o fracturas utilizando resinas del

color natural del diente. Esto devuelve la función, estética y resistencia sin necesidad de tratamientos mayores.

Beneficios

Material del mismo color del diente

Restablece función y estética

Procedimiento conservador y duradero

Restauración en una sola sesión

Diagnóstico Completo y Evaluación Clínica

Incluye revisión detallada de dientes, encías y tejidos orales para detectar problemas a tiempo

y planificar tratamientos adecuados. Es la base para mantener la salud dental preventiva.

Beneficios

Detecta problemas antes de que avancen

Permite planificar tratamientos personalizados

Evalúa salud de dientes, encías y mordida

Evita tratamientos más invasivos o costosos

Tratamientos Preventivos

Son procedimientos destinados a proteger la salud bucal antes de que aparezcan problemas mayores.

Incluyen control de encías, indicaciones de higiene, sellantes en casos necesarios y seguimiento profesional.

Beneficios

Previene caries y desgaste dental

Mantiene encías sanas

Refuerza hábitos de higiene

Reduce necesidad de tratamientos más complejos

Cuidado dental integral para una sonrisa sana y duradera

En Renueva Clínica ofrecemos tratamientos esenciales que mantienen tu salud bucal en óptimas condiciones. Nos enfocamos en la prevención, el diagnóstico oportuno y la restauración de piezas dentales, siempre priorizando soluciones funcionales, duraderas y estéticamente cuidadas.

Limpieza Dental (Profilaxis)

La limpieza dental elimina placa, sarro y manchas superficiales para mantener dientes y encías saludables. Es un procedimiento preventivo fundamental para evitar caries, inflamación y enfermedad periodontal.

Se recomienda realizarla cada 6 meses para mantener una sonrisa más limpia y fresca.

Beneficios

Reduce riesgo de caries y enfermedades de encías

Elimina manchas superficiales

Mejora el aliento Mantiene la salud bucal a largo plazo

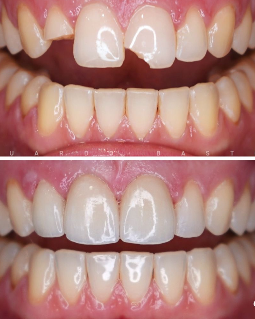
Restauraciones Dentales (Tapaduras en Resina)

Las restauraciones permiten reparar dientes dañados por caries o fracturas utilizando resinas del color natural del diente. Esto devuelve la función, estética y resistencia sin necesidad de tratamientos mayores.

Beneficios

Material del mismo color del diente

Restablece función y estética

Procedimiento conservador y duradero

Restauración en una sola sesión

Diagnóstico Completo y Evaluación Clínica

Incluye revisión detallada de dientes, encías y tejidos orales para detectar problemas a tiempo y planificar tratamientos adecuados. Es la base para mantener la salud dental preventiva.

Beneficios

Detecta problemas antes de que avancen

Permite planificar tratamientos personalizados

Evalúa salud de dientes, encías y mordida

Evita tratamientos más invasivos o costosos

Tratamientos Preventivos

Son procedimientos destinados a proteger la salud bucal antes de que aparezcan problemas mayores. Incluyen control de encías, indicaciones de higiene, sellantes en casos necesarios y seguimiento profesional.

Beneficios

Previene caries y desgaste dental

Mantiene encías sanas

Refuerza hábitos de higiene

Reduce necesidad de tratamientos más complejos

Ventajas de realizar Odontología General en Renueva Clínica

1. Enfoque preventivo

Nos centramos en evitar problemas antes de que aparezcan, cuidando tu sonrisa a largo plazo.

2. Tratamientos conservadores

Buscamos siempre la solución menos invasiva y más duradera, respetando la estructura natural del diente.

3. Materiales estéticos y modernos

Usamos resinas del color del diente y técnicas actualizadas para lograr resultados funcionales y naturales.

4. Atención cercana y profesional

Explicamos cada paso y acompañamos al paciente para que se sienta seguro y cómodo.

5. Evaluaciones completas

Realizamos diagnósticos detallados para identificar cualquier problema y proponer el mejor plan de tratamiento.

Ventajas de realizar Odontología General en Renueva Clínica

1. Enfoque preventivo

Nos centramos en evitar problemas antes de que aparezcan, cuidando tu sonrisa a largo plazo.

2. Tratamientos conservadores

Buscamos siempre la solución menos invasiva y más duradera, respetando la estructura natural del diente.

3. Materiales estéticos y modernos

Usamos resinas del color del diente y técnicas actualizadas para lograr resultados funcionales y naturales.

4. Atención cercana y profesional

Explicamos cada paso y acompañamos al paciente para que se sienta seguro y cómodo.

5. Evaluaciones completas

Realizamos diagnósticos detallados para identificar cualquier problema y proponer el mejor plan de tratamiento.

Odontología General en Providencia

Clínica Renueva

Odontología General en Providencia | Clínica Renueva

En Renueva Clínica ofrecemos tratamientos de odontología general en Providencia enfocados en prevención, diagnóstico y restauración dental. Realizamos limpiezas, restauraciones, evaluaciones completas y tratamientos preventivos, utilizando técnicas modernas y materiales estéticos que garantizan resultados naturales y duraderos.

Nuestro equipo trabaja con un enfoque conservador, priorizando la salud de tus dientes y encías, y brindando una atención cercana, segura y profesional.

Estamos aquí para ayudarte con atención cercana, diagnósticos precisos y el cuidado que tu salud oral merece. Contáctanos y recibe orientación inmediata de nuestro equipo.

Agenda tu consulta por WhatsApp y recupera tu tranquilidad dental.

Odontología General en Providencia

Clínica Renueva

Odontología General en Providencia | Clínica Renueva

En Renueva Clínica ofrecemos tratamientos de odontología general en Providencia enfocados en prevención, diagnóstico y restauración dental. Realizamos limpiezas, restauraciones, evaluaciones completas y tratamientos preventivos, utilizando técnicas modernas y materiales estéticos que garantizan resultados naturales y duraderos.

Nuestro equipo trabaja con un enfoque conservador, priorizando la salud de tus dientes y encías, y brindando una atención cercana, segura y profesional.

Estamos aquí para ayudarte con atención cercana, diagnósticos precisos y el cuidado que tu salud oral merece. Contáctanos y recibe orientación inmediata de nuestro equipo.

Agenda tu consulta por WhatsApp y recupera tu tranquilidad dental.

NUESTROS RESULTADOS

Horario de Atención

Lunes a Viernes

10:00 am a 7:00pm

Sábados

10:00 am a 3:00pm

CONTÁCTENOS, RESPONDEREMOS SUS CONSULTAS

Horario de Atención

Lunes a Viernes

10:00 am a 7:00pm

Sábados

10:00 am a 3:00pm

CONTÁCTENOS, RESPONDEREMOS SUS CONSULTAS